
Diagnostyka obrazowa to nieodłączny element współczesnej stomatologii, który umożliwia ocenę struktur anatomicznych niewidocznych gołym okiem i wspiera podejmowanie decyzji terapeutycznych. Dzięki niej dentysta może nie tylko zidentyfikować problemy niewidoczne podczas zwykłego badania jamy ustnej, ale także precyzyjnie zaplanować leczenie z zachowaniem bezpieczeństwa i przewidywalności efektów.
Wyniki badań obrazowych pozwalają np. określić długość i zakrzywienie kanałów korzeniowych przed leczeniem endodontycznym, zlokalizować ognisko infekcji przed ekstrakcją zęba czy zidentyfikować przebieg nerwów i zatok przed planowanym zabiegiem chirurgicznym. W przypadku planowania wszczepienia implantu diagnostyka trójwymiarowa umożliwia ocenę grubości i gęstości kości, co decyduje o doborze odpowiedniego rozmiaru i pozycji implantu.
W naszym gabinecie znajdują się cztery aparaty cyfrowe przy każdym stanowisku pracy. Dawka promieniowania przy ich wykonywaniu jest bardzo mała, zatem są bezpieczne dla pacjenta.
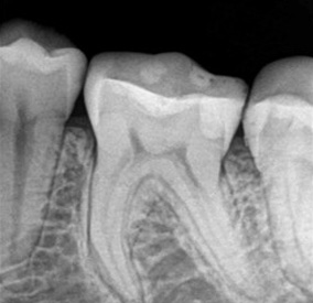
Zdjęcia punktowe (zębowe)
wykonuje się w celu diagnostyki jednego lub kilku sąsiadujących ze sobą zębów (1-4 zębów) kiedy pacjent zgłasza się do gabinetu z bólem zęba, w trakcie leczenia kanałowego czy podczas zabiegu implantacji.
Zdjęcia są również wykorzystywane do oceny tkanek w okolicy wierzchołków korzeni zęba.



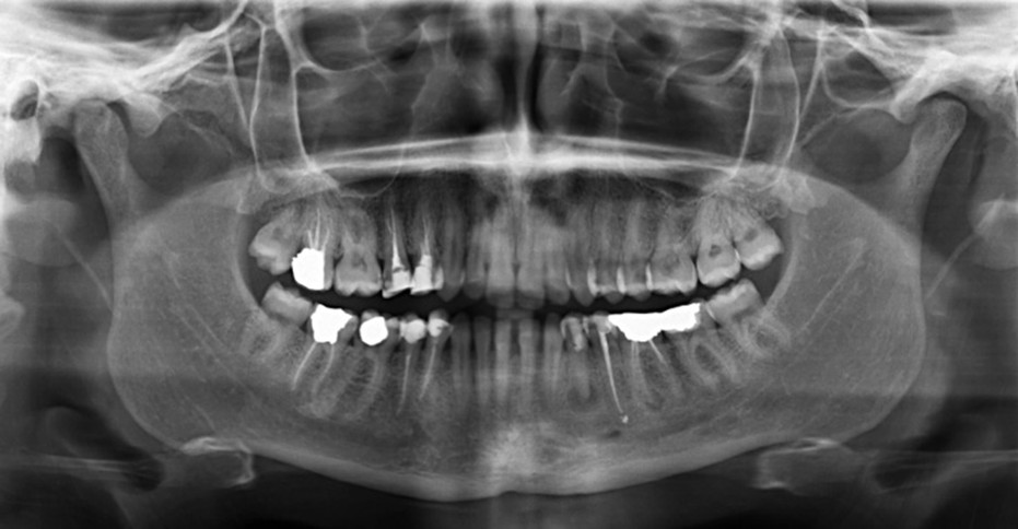
Zdjęcia panoramiczne
Pozwalają na ocenę całego stanu uzębienia oraz innych tkanek narządu żucia. Przedstawiają one wszystkie ważne struktury anatomiczne jak stan i położenie zębów, w tym również zębów zatrzymanych, stawy skroniowo -żuchwowe, dno zatoki szczękowej, budowę kości oraz zmiany zapalne.
Są to zdjęcia przeglądowe, uwidaczniające nieprawidłowości takie jak próchnica zębów, pozostawione po ekstrakcjach korzenie zębów, zęby nieprawidłowo przeleczone kanałowo.

Nasz gabinet posiada aparat cyfrowy, co sprawia że dawka promieniowania jest jeszcze mniejsza.
Tomografia CBCT 3D
Obecnie jest to najbardziej szczegółowa metoda diagnostyki stosowana w stomatologii. Badanie to jest niezbędne przy planowaniu zabiegów implantologicznych, chirurgicznych i endodontycznych, a także znacznie pomaga ocenić struktury anatomiczne oraz zmiany chorobowe w obrębie narządu żucia w trójwymiarowym obrazie.

